티스토리 뷰

폐에 물이 차는 원인 증상 물참 관리 포인트에 대한 건강정보를 한 번에 정리해, 대표 원인 6가지와 자가 체크법, 병원에 가야 하는 위험 신호까지 숫자로 깔끔하게 짚어드립니다.
목차
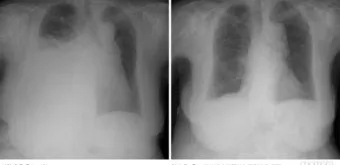
이 글에서 말하는 ‘폐에 물이 찼다’는 표현은 의학적으로는 흉수, 즉 폐를 둘러싼 흉막 사이 공간에 체액이 비정상적으로 많이 고인 상태를 뜻합니다.:contentReference[oaicite:0]{index=0}



가슴 안쪽에 5~10mL 정도의 액체는 원래 정상적으로 존재하지만, 200~300mL를 넘어서면서부터 X선이나 초음파에서 잘 보이고 500mL 이상이 되면 숨이 확연히 차기 시작하는 경우가 많다고 알려져 있지요.:contentReference[oaicite:1]{index=1}
저도 가족이 흉수 때문에 입원했던 경험이 있어서, 병원에서 의사가 설명해 준 내용을 기반으로 따로 논문과 건강정보를 찾아 정리해 둔 적이 있습니다.:contentReference[oaicite:2]{index=2}
그래서 이번 글은 그냥 겁을 주는 글이 아니라, 실제로 현장에서 쓰이는 개념과 숫자를 섞어가며 ‘언제 걱정해야 하는지’와 ‘어떻게 관리해야 하는지’를 현실적으로 이야기해보려 해요.
먼저, 흉수라는 개념을 조금만 더 짚고 갈게요.
흉막(가슴막)은 폐를 싸고 있는 두 겹의 막이고 그 사이 공간(흉강)에 소량의 액체가 있어야 폐가 부드럽게 움직이는데, 여기에 액체가 과도하게 고이면 흉수, 즉 폐에 물이 찬 상태가 됩니다.:contentReference[oaicite:3]{index=3}
흉수에 대한 해설과 용어 정리가 잘 되어 있는 자료로는 흉수 관련 정리 같은 글도 참고할 수 있습니다.



다만 인터넷 정보만 보고 스스로 판단하는 건 한계가 있어서, 실제 증상이 있으면 꼭 의료진 진료와 연결해서 읽으셔야 안전합니다.
폐에 물이 차는 원인 증상 물참 관리 포인트를 다시 정리한 제목
지금부터 폐에 물이 차는 원인 증상 물참 관리 포인트에 대한 건강정보에 대한 내용을 아래에서 확인해 보도록 하겠습니다.

본격적인 내용으로 들어가기 전에, 제목을 조금 다르게 풀어서 한 번 더 정리해볼게요.
‘폐에 물이 차는 원인과 증상, 물참 관리 포인트’를 한마디로 압축하면 “흉수라는 상태를 이해하고, 원인 6가지와 증상 신호등, 일상 관리 습관까지 알아두면 당황하지 않고 대응할 수 있다” 정도로 요약할 수 있습니다.



폐에 물이 차는 원인 총정리
폐에 물이 차는 원인 증상 물참 관리 포인트에 대한 건강정보에 대해 궁금하신 분들은 아래를 참고하세요!




폐에 물이 차는 원인은 생각보다 다양합니다.
흉수는 크게 여출성(전신 상태 문제로 생기는 경우)과 삼출성(염증·암·감염 등 국소 문제로 생기는 경우)으로 나누고, 각각에서 대표적인 질환들이 정리되어 있습니다.:contentReference[oaicite:4]{index=4}
실제 병원에서 숫자로 보면, 성인에서 흉수 원인의 50% 안팎은 심부전과 같은 심장 문제, 또 20~25% 정도는 폐렴·결핵 같은 감염성 질환, 15~20% 정도는 폐암·전이암 같은 악성 질환에서 나오곤 합니다.:contentReference[oaicite:5]{index=5}
물론 개인마다 다르지만, 큰 흐름은 이렇게 잡고 보면 이해가 좀 쉬워져요.
폐에 물이 차는 대표적인 원인 6가지
폐에 물이 차는 원인, 즉 흉수를 일으키는 대표적인 경우를 6가지로 나누어 보면 이렇게 정리할 수 있습니다.
하나씩 짚으면서 “내 상황과 비슷한 게 있나?” 조심스럽게 대조해보셔도 좋아요. 물론 최종 판단은 진료실 몫입니다.



첫째, 심부전과 같은 심장 기능 저하입니다.
심장이 충분히 피를 내보내지 못하면 혈관 속 압력이 올라가고, 폐 주변 모세혈관에서 물이 흘러나와 흉막 공간으로 스며듭니다. 이때 생기는 흉수를 여출성 흉수라고 부르고, 전체 흉수의 가장 흔한 원인으로 꼽힙니다.:contentReference[oaicite:6]{index=6}
둘째, 폐렴·결핵·바이러스 감염 등 폐 자체의 염증입니다.



염증이 심해지면 혈관과 흉막이 자극되어 단백질이 풍부한 액체가 모이게 되는데, 이런 삼출성 흉수는 단순히 물만 고이는 게 아니라 세균·면역세포가 함께 뒤섞여 있어 통증과 열이 동반되는 경우가 많습니다.:contentReference[oaicite:7]{index=7}
셋째, 폐암·유방암·림프종·전이암 등 악성 질환입니다.
악성 흉수는 암세포가 흉막을 침범해 염증과 혈관 투과성 변화를 일으키면서 생기는데, 폐암이 가장 흔한 원인이고 그다음으로 유방암과 림프종, 다른 장기에서 옮겨온 암이 자주 언급됩니다.:contentReference[oaicite:8]{index=8}
넷째, 간경변과 신증후군 같은 전신 부종 질환입니다.
간 기능이 떨어지거나 신장 질환으로 혈액 속 단백질 농도가 낮아지면 삼투압이 떨어지고, 복수(배에 물이 참)와 함께 흉수까지 동반되는 경우가 적지 않습니다.:contentReference[oaicite:9]{index=9}
다섯째, 폐 색전증·류마티스 질환·자가면역질환 등 혈관·면역 문제입니다.



혈전이 폐동맥을 막거나, 자가면역질환이 흉막을 공격하면 염증성 액체가 모여 흉수가 생기고, 이때는 갑작스러운 흉통과 숨가쁨이 함께 오는 경우가 많아요.:contentReference[oaicite:10]{index=10}
여섯째, 수술·외상·방사선치료 후 변화입니다.
흉부 수술 직후나 교통사고·넘어짐으로 갈비뼈 골절이 생긴 뒤, 혹은 방사선치료 후에 흉막이 자극되어 일시적으로 흉수가 고이는 일도 있습니다. 이런 경우는 시간 경과와 함께 서서히 줄어드는 패턴을 보이기도 해요.:contentReference[oaicite:11]{index=11}
이런 의료 정보는 흉수 개요 설명 같은 자료와 같이 읽으면 용어 이해에 도움이 될 수 있습니다.
다만 자신이 어디에 해당하는지, 어느 정도 심각한지는 영상검사와 혈액검사, 흉수 검사까지 봐야 명확해집니다.
폐에 물이 찼을 때 꼭 알아야 할 위험 신호
폐에 물이 차는 원인만큼 중요한 것이 “이제 정말 병원에 가야 할 때가 언제냐” 하는 지점입니다.
실제로 외래에서 보면, 이미 일주일 이상 숨이 차고 있었는데 “혹시 좋아지겠지” 하고 버티다가 많이 힘들어진 다음에야 오시는 분들이 꽤 있어요.
흉수 자체가 커질수록, 또 그 뒤에 숨어 있는 심부전·감염·암 같은 원인이 방치될수록 위험도가 올라갑니다.
특히 숨이 점점 더 차오르고, 누우면 더 힘들어지고, 밤에 기침이 심해지는 양상은 그냥 감기로 볼 수 있는 단계가 아니라고 강하게 보셔야 합니다.:contentReference[oaicite:12]{index=12}



또 하나 중요한 포인트는 “한쪽만 계속 반복되느냐, 양쪽에 번갈아 생기느냐”입니다.
한쪽 폐 주변으로만 반복적으로 흉수가 생기면 결핵성 늑막염이나 암성 흉수 가능성을, 양쪽으로 넓게 생기면 심장·간·신장 기능 문제 가능성을 의료진이 더 집중해서 보게 됩니다.:contentReference[oaicite:13]{index=13}
이렇게 원인과 위험 신호를 머릿속에 대강만 갖고 있어도, 나중에 증상이 생겼을 때 “아, 이건 그냥 넘길 일이 아니구나” 하고 좀 더 빨리 움직이게 되더라고요.
저 역시 가족 일이 있고 난 뒤로는 숨이 유난히 차거나 밤에 누웠을 때 기침이 몰려오면 바로 병원부터 떠올리게 됐습니다.
폐에 물이 차는 증상과 물참 체크포인트



폐에 물이 차는 증상은 초기에는 아주 애매하게 시작하는 경우가 많습니다.
그래서 그냥 체력이 떨어진 건지, 나이가 들어서 그런 건지 헷갈리다가 기회를 놓치곤 하지요.
초기 폐에 물이 찰 때 자주 보이는 증상
흉수, 즉 폐에 물이 차기 시작할 때 대표적으로 보고된 증상들을 정리해보면 아래와 같습니다.:contentReference[oaicite:14]{index=14}
이 중 2~3가지 이상이 1주일 넘게 계속된다면, 단순 피로라고 넘기지 말고 검사를 고민해보시는 게 좋습니다.
첫 번째, 계단·오르막에서의 숨가쁨입니다.



평소에 무리 없이 올라가던 계단 두 층이 갑자기 버겁고, 중간에 한 번 쉬어야 할 정도로 숨이 찬 느낌이 든다면 폐 기능을 건드리는 어떤 변화가 시작되었을 가능성이 있습니다.
두 번째, 누웠을 때 더 심해지는 호흡곤란입니다.
흉수가 일정량 이상 고이면 누운 자세에서 폐가 더 눌려서, 평소엔 괜찮다가 잠자리에 누우면 가슴이 답답하고 숨이 차서 베개를 두 개 겹쳐야 겨우 잔다는 분들이 있어요.:contentReference[oaicite:15]{index=15}
세 번째, 깊게 숨 쉴 때 가슴 한쪽이 콕콕 찌르는 듯한 흉통입니다.
흉막이 자극되면 깊이 숨을 들이쉴 때, 기침을 할 때, 웃을 때 통증이 더 심해지는 양상이 특징적이고, 딱 한 점이 찌르듯 아픈 경우도 많습니다.:contentReference[oaicite:16]{index=16}
네 번째, 마른 기침과 약간의 미열입니다.
특히 폐렴이나 결핵, 바이러스 감염이 동반된 흉수에서는 열과 오한, 식욕 저하, 체중 감소 같은 전신 증상이 같이 오기도 하지요.:contentReference[oaicite:17]{index=17}
다섯 번째, 쉽게 피곤해지고 몸이 무거운 느낌입니다.
산소 교환이 미묘하게 떨어지면 낮 동안 집중력이 떨어지고, 가벼운 집안일만 해도 숨이 찬 것이 느껴져서 일상 리듬이 조금씩 틀어지게 됩니다.



여섯 번째, 기침을 할 때 가슴 통증이 심해지거나, 누울 때 한쪽이 더 아픈 느낌입니다.
이런 통증은 보통 몸을 돌리거나 호흡 패턴을 바꿔도 잘 없어지지 않고, 호흡에 맞춰 같이 들락날락하는 특징을 보입니다.
이런 증상 설명을 찾아볼 때, 흉수 증상 요약 같은 글을 함께 보면 용어가 덜 낯설게 느껴질 수 있습니다.
다만 어디까지나 참고용일 뿐, 실제 내 폐 상태는 영상과 검사 결과를 봐야만 알 수 있다는 점을 항상 전제로 두셔야 해요.
응급실을 고민해야 하는 폐 증상 신호등

반대로, “이 정도면 응급실부터 가야 하나?” 고민되는 순간들도 있습니다.
이 구간에서는 솔직히 말해서 시간보다 중요한 게 없어요, 괜히 눈치 보면서 미루지 않는 게 훨씬 낫습니다.
다음과 같은 상황이라면, 폐에 물이 차는 원인이나 물참의 정도와 상관없이 119 또는 응급실 방문을 우선으로 생각하시는 게 좋습니다.:contentReference[oaicite:18]{index=18}
숫자로 적어보면 오히려 마음이 정리되더라고요.
첫째, 계단 한 층도 못 오를 정도로 갑자기 숨이 차고, 가만히 있어도 숨이 턱 막히는 느낌이 들 때입니다.


숨쉬는 속도가 분당 30회 이상으로 빨라지거나, 한 문장을 끝까지 말하기 힘들다면 이미 상당히 위급한 상태일 수 있습니다.
둘째, 입술이나 손끝이 푸르스름하게 변하는 청색증 증상이 보일 때입니다.
산소 공급이 떨어져서 생기는 현상이라, 그냥 참고 집에서 버티기에는 위험도가 너무 높아요.
셋째, 가슴 가운데나 한쪽이 쥐어짜는 듯 또는 칼로 찌르는 듯 심하게 아프면서, 식은땀과 어지러움이 동반될 때입니다.
이 경우에는 흉수뿐 아니라 심근경색·폐색전증 같은 응급질환도 함께 의심해야 하기 때문에, “내일 아침까지 보다 보면 낫겠지” 하는 생각은 과감히 내려놓으시는 게 좋습니다.
넷째, 갑작스러운 의식 저하, 말이 어눌해짐, 심한 두통과 함께 숨이 찬 증상이 같이 올 때입니다.
전신 순환과 뇌 혈류까지 영향을 받은 상황일 수 있어, 즉시 병원으로 이동해야 합니다.
다섯째, 갑자기 기침과 함께 피가 섞인 가래(혈담)를 뱉기 시작했을 때입니다.
폐렴·결핵·암·폐색전증 등 다양한 원인이 가능하므로, 이때는 원인에 상관없이 응급 평가가 필요합니다.:contentReference[oaicite:19]{index=19}
이런 응급신호에 대해서는, 집에서 이런저런 정보를 더 찾아보는 것보다 일단 병원에 도착하는 속도가 훨씬 중요합니다.
나중에 돌아보면 “조금 과했다 싶어도, 괜찮아서 다행이다”라는 쪽이 훨씬 마음 편하더라고요.
폐에 물이 차는 물참 관리 포인트
이제 “폐에 물이 차는 원인과 증상은 알겠다, 그럼 실제로 어떻게 관리해야 하나?”라는 질문으로 넘어가 보겠습니다.
여기서 말하는 관리는 집에서 할 수 있는 소소한 관리부터, 병원에서 어떤 과정을 밟게 되는지, 재발을 줄이려면 어떤 생활습관을 챙기면 좋을지까지 포함합니다.
진단부터 치료까지 폐에 물이 찼을 때 진행 과정
폐에 물이 찬 것 같다고 느껴져서 병원에 가면, 보통 다음과 같은 순서로 진단과 치료가 진행됩니다.:contentReference[oaicite:20]{index=20}
알고 가면 훨씬 덜 불안하고, 검사 하나하나의 의미도 이해하기가 쉬워져요.
1단계, 문진과 청진입니다.
언제부터 숨이 찼는지, 누울 때 더 힘든지, 기침·가래·열·체중변화가 있었는지, 과거 심장·간·신장·암 진단을 받은 적이 있는지 등을 꼼꼼히 묻고, 청진기로 양쪽 폐의 호흡음을 비교해 들으면서 흉수 가능성을 추정합니다.
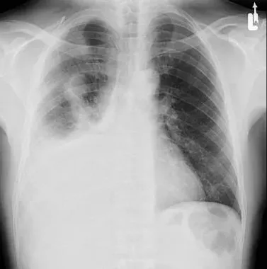
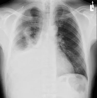
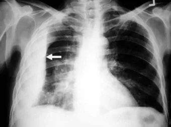
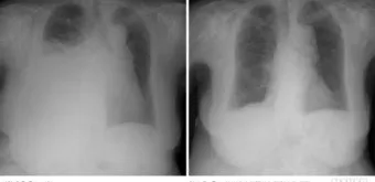
2단계, 흉부 X선 촬영입니다.
서서 찍은 단순 X선에서 보통 250mL 이상 흉수가 고이면 갈비뼈와 횡격막이 만나는 부분이 희미해지거나, 반달 모양의 음영이 보이기 시작한다고 알려져 있습니다.:contentReference[oaicite:21]{index=21}
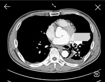
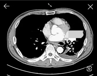
3단계, 흉부 초음파·CT 검사입니다.
특히 초음파는 수십 mL 수준의 적은 양 흉수도 찾아내는 데 도움이 되고, 어디에 얼마나 모여 있는지를 파악해 나중에 흉강천자(물을 뽑는 시술)를 할 위치를 잡는 데 쓰입니다.:contentReference[oaicite:22]{index=22}
4단계, 흉강천자(흉수 검사 및 배액)입니다.
국소마취를 하고 바늘이나 가는 관을 통해 흉막 사이에 고인 액체를 일부 또는 상당량 뽑아내면서, 단백질·당·염증수치·암세포 유무 등을 검사해 여출성인지 삼출성인지, 감염성인지 악성인지 등을 감별합니다.:contentReference[oaicite:23]{index=23}
5단계, 원인 치료와 증상 조절입니다.
심부전이 원인이면 심장기능을 개선하는 약물과 체액조절, 폐렴이면 항생제와 배액, 결핵이면 항결핵제, 악성 흉수면 항암치료·방사선치료·흉막유착술 등을 복합적으로 고려합니다.:contentReference[oaicite:24]{index=24}
흉수의 기본적인 개념과 분류를 다시 살펴보고 싶다면 흉수 정리 문서처럼 정리된 글을 함께 참고하면 구조를 이해하기 조금 더 수월합니다.
다만 실제 치료 선택은 영상·혈액·조직검사 결과를 종합한 뒤 의료진이 판단합니다.
여기서 꼭 기억해야 할 관리 포인트는 딱 두 가지입니다.
“물 자체를 얼마나 빼느냐”보다 “그 물을 만들고 있는 원인을 얼마나 제대로 잡느냐”가 장기적인 예후를 좌우한다는 것, 그리고 “처음 흉수가 생겼을 때부터 재발 패턴을 잘 기록해 두면 나중 치료 전략에 큰 도움이 된다”는 점입니다.:contentReference[oaicite:25]{index=25}
일상에서 실천하는 폐 물참 관리 습관
폐에 물이 찬 경험이 있거나, 물이 찰 위험이 높은 기저질환(심장·간·신장·폐 질환 등)을 가지고 있다면, 일상에서 챙길 수 있는 관리 포인트들이 있습니다.
이 부분은 제가 가족을 돌보면서 실제로 써먹어 본 방법들이라, 조금은 생활밀착형 팁이 될 거예요.
첫 번째, ‘숨참 일기’를 짧게라도 적어두기입니다.
오늘 계단 몇 층까지 숨이 괜찮았는지, 평지를 5분 걸었을 때 숨이 어떤지, 밤에 누웠을 때 숨가쁨이 심해졌는지 등을 0~10점으로 매겨서 간단히 기록해두면, 병원 갈 때 의사에게 설명하기가 훨씬 수월해집니다.
두 번째, 체중과 부종 체크를 주 3회 이상 규칙적으로 하기입니다.
심장·신장·간 문제와 연결된 흉수는 체액 전체가 늘어나는 경우가 많아서, 아침 체중이 3일 사이에 2kg 이상 늘거나, 종아리·발등이 푹 눌렸다가 천천히 돌아오는 함요 부종이 생기면 병원에 연락해야 할 신호로 보셔야 합니다.:contentReference[oaicite:26]{index=26}
세 번째, 호흡 재활에 가까운 “천천히 깊게 숨 쉬기 연습”입니다.
너무 과격한 호흡운동은 오히려 피로감을 줄 수 있어, 보통은 하루에 3~4번 정도, 한 번에 5분 내외로 코로 깊게 들이마시고 입으로 천천히 내쉬는 연습을 권장하는 경우가 많습니다.:contentReference[oaicite:27]{index=27}
네 번째, 흡연과 간접흡연은 가능하면 완전히 끊기입니다.
흡연은 폐렴·폐암·만성 폐질환의 위험을 높여 흉수 가능성을 키우기도 하고, 이미 흉수가 있는 사람에게는 회복 속도 자체를 늦추기 때문에 손해만 가득한 선택이라고 봐야 합니다.
다섯 번째, 갑작스러운 과로와 무리한 운동을 피하고, 규칙적인 가벼운 활동을 유지하기입니다.
숨이 찬 상태에서는 무리한 근력운동이나 인터벌 트레이닝 같은 건 피하고, 대신 하루 20~30분 정도의 느긋한 걷기, 간단한 스트레칭을 꾸준히 이어가는 편이 좋습니다.
여섯 번째, 정기 검진과 영상 추적을 소홀히 하지 않는 것입니다.
특히 악성 흉수였던 분들은 항암치료·방사선치료 계획에 맞춰 흉부 X선 또는 CT 추적이 잡혀 있는 경우가 많고, 이 일정이 곧 재발 조기발견의 안전망이 되기 때문에 귀찮더라도 꼭 지켜주시는 게 좋습니다.:contentReference[oaicite:28]{index=28}
이 밖에 흉수에 대한 전반적인 개념과 사례를 다시 정리해보고 싶다면 흉수 관련 정보도 같이 읽어보면 용어 이해에 도움이 됩니다.
단, 어느 경우든지 “집에서 할 수 있는 관리”는 어디까지나 보조 수단이고, 숨이 차는 이유를 밝히고 치료 방향을 잡는 주인공은 항상 전문 진료라는 사실을 잊지 마셔야 합니다.
폐에 물이 차는 상태를 이해했을 때 얻는 현실적인 이득
여기까지 ‘폐에 물이 차는 원인 증상 물참 관리 포인트’라는 꽤 긴 표현을, 실제 생활에서 쓸 수 있는 언어로 하나하나 풀어봤습니다.
정리해보면, 이 내용을 알고 있는 것만으로도 세 가지 현실적인 이득이 생깁니다.
첫째, 숨이 찰 때 “괜찮겠지”라고만 넘기지 않고, 스스로 위험 신호를 분류할 수 있게 됩니다.
“계단 두 층이 힘들어졌는지, 누우면 더 힘든지, 가슴이 찌르는지, 열이 나는지” 같은 구체적인 질문이 머릿속에 떠오르기 때문에, 인터넷 검색 대신 병원을 먼저 떠올리게 되지요.
둘째, 병원에 갔을 때 의료진과 대화가 훨씬 수월해집니다.
흉수, 물참, 여출성·삼출성, 흉강천자 같은 단어들이 너무 낯설지 않다면, 설명을 들으면서도 머릿속에 그림이 그려지고, 치료 계획을 함께 상의할 수 있는 여유도 생깁니다.:contentReference[oaicite:29]{index=29}
셋째, 재발을 막기 위한 생활습관을 “왜 해야 하는지” 이해하고 실천하게 됩니다.
단순히 “염분을 줄이세요”라는 말보다, “체액이 늘어나면 흉수가 다시 찰 수 있어서 그렇다”는 이유를 알면, 실제 식단과 생활에서 지키기가 훨씬 쉬워져요.
이런 개념 정리에 도움이 되는 참고 자료는 흉수 설명처럼 구조를 잘 잡아놓은 글과, 대학병원·공공기관에서 제공하는 흉수·흉막삼출 안내문들을 함께 읽어보는 방식이 괜찮습니다.:contentReference[oaicite:30]{index=30}
개인적으로는, 처음에는 너무 어려운 논문보다 이렇게 정리된 글들부터 차근차근 훑어보는 게 훨씬 덜 지치더라고요.
폐에 물이 차는 원인 증상 물참 관리 포인트 결론 정리
마지막으로, 지금까지 내용을 짧게 다시 정리해볼게요.
긴 글 읽느라 고생하셨으니, 이 부분만 따로 메모해 두셔도 좋습니다.
첫 번째 포인트, 폐에 물이 차는 상태는 대부분 흉수, 즉 흉막 사이에 액체가 비정상적으로 많이 고인 상태이며, 심장·폐·간·신장·암·자가면역질환·수술 후 변화 등 다양한 원인이 있습니다.:contentReference[oaicite:31]{index=31}
원인에 따라 여출성·삼출성으로 나뉘고, 치료 전략도 완전히 달라지기 때문에 “정확한 진단”이 항상 출발점이 됩니다.
두 번째 포인트, 폐에 물이 차는 증상은 초기에는 계단에서의 숨가쁨, 누워서 악화되는 호흡곤란, 마른 기침, 가벼운 흉통처럼 애매하게 시작하지만, 진행되면 가만히 있어도 숨이 차고, 청색증·가슴통증·혈담·의식저하 같은 응급 신호로 이어질 수 있습니다.:contentReference[oaicite:32]{index=32}
폐에 물이 차는 원인 증상 물참 관리 포인트에 대한 건강정보에 대해 더 알고싶은 내용은 아래를 확인하세요!

세 번째 포인트, 물참 관리의 핵심은 두 가지입니다.
물 자체를 뽑는 시술(흉강천자, 흉관 삽입 등)은 숨쉬기 편하게 만들어 주는 동시에 진단을 위한 과정이고, 장기적인 관리는 흉수를 만든 심부전·감염·암·간질환 등 “원인 질환을 얼마나 잘 다스리는지”에 달려 있습니다.:contentReference[oaicite:33]{index=33}
여기에 더해, 숨참 일기·체중과 부종 체크·가벼운 유산소 활동·금연·정기 영상검사 같은 일상 습관을 붙이면 재발 위험을 줄이고, 재발하더라도 더 일찍 알아채 대응할 수 있습니다.
폐에 물이 차는 원인 증상 물참 관리 포인트에 대한 건강정보에 대한 보다 자세한 내용은 아래 내용을 확인해보세요!

마지막으로 이 글은 어디까지나 일반적인 건강정보를 정리한 것이고, 실제 진단이나 치료를 대신할 수는 없습니다.
요즘 들어 숨이 자주 차고, 가슴이 답답하거나, 계단 오르내리기가 예전 같지 않다고 느껴진다면 “나이 탓이겠지” 하고 넘기지 말고, 한 번은 꼭 호흡기내과나 심장내과 진료를 받아보시길 권합니다.
조금 빠르게 움직이는 것, 생각보다 우리 폐를 지켜주는 꽤 괜찮은 습관이거든요.
볼만한 글

